Introduction
The disease caused by SARS-CoV-2 (COVID-19) mainly affects respiratory tract. Since it spread worldwide, there have been anecdotal reports of optic nerve involvement.
Objective
To illustrate a rare neuro-ophthalmic manifestation of coronavirus disease 19.
Case Report
We helped care for a 64-year-old woman with penicillin allergy and known COVID-19 exposure presented to the emergency department with a 6-day history of fatigue, headache, nausea, abdominal discomfort, and fever up to 38.7 ºC. Her heart rate was 58 beats per minute, blood pressure 95/60 mmHg, respiratory rate 22 breaths per minute, and oxygen saturation 92% while breathing ambient air. Breath sounds were normal with bibasal crackles. The abdominal examination was unremarkable. Laboratory tests showed lymphopenia (1,300 per cubic millimeter) and thrombocytopenia (115,000 per cubic millimeter). The C-reactive protein level was 24.6 mg per liter, and the fibrinogen level was 6.5 g per liter. An oropharyngeal swab for COVID-19 testing was positive. Chest radiographs showed reticular interstitial opacities in the right lower lobe. The patient was admitted and began to receive treatment with azithromycin, hydroxychloroquine, lopinavir/ritonavir, low-molecular-weight heparin, and oxygen. After 48 hours, the patient presented with severe abdominal pain and diarrhea. On day 3, these treatments were stopped because of the persistence of these symptoms. Furthermore, radiological progression with significant bilateral involvement and a ratio PaO2/FiO2 of 182 prompted the use of high-flow nasal cannula, tocilizumab, and systemic corticosteroids. On day 6, the patient started improving.
On day 14 and 72 hours after stopping systemic corticosteroids, the patient presented a loss of visual acuity and dyschromatopsia in the right eye, without pain in the extraocular eye movements.
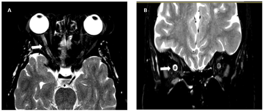
Brain MRI (Figure 1) showed a slight thickening and T2 hyperintensity of the right optic nerve sheath. The visual evoked response showed the presence of a demyelinating neuropathy in the right optic nerve (Figure 2). Optical coherence tomography showed an absence of intraocular axonal injury. Fortunately, three weeks after being discharged, the patient had progressively recovered her visual acuity as well as her colour vision without additional treatment. Brain MRI and visual evoked response performed later were normal.
Figure 1: T2-weighted brain MRI
(A) The axial section shows the proximal portion of the right optic nerve which appears swollen with high T2 signal (signalled
with a white arrow).
(B) The coronal section demonstrates that the thickening of the optic nerve is probably due to peripheral edema (signalled
with a white arrow).
Figure 2: Pattern-reversal visual evoked potentials (VEP) charts for the right and left eye (ISCEV protocol).
Note: Panel A shows a pathological delay of P100 wave in the right optic nerve with large 1-degree stimuli, which remains
markedly prolonged with small 0.25 degree checks (signaled with a black arrow).
Panel B shows a normal VEP-pattern in the left nerve. Amplitudes of P100 waves are normal in both nerves.
Discussion
The neuro-ophthalmic involvement by SARS-CoV-2 in humans is infrequent [1]. During the global pandemic, case reports of this type of alteration have been anecdotal and mainly involving the conjunctiva [2]. Recently, few cases of optic neuritis caused by SARS-CoV-2 have been described in humans [3,4]. Admittedly, the temporal sequence suggests, but does not prove, that SARSCoV- 2 caused this optic neuritis in our case. Even though the visual problems were limited in time and did not have significant sequelae, our case and those reported previously [3,4] show the need to be vigilant with regards to ocular symptoms in patients with COVID-19 [5].
Authors’ Contributions
a) Conception or design of the work: Eduard Barrio, Gladis
Sabater and Ramon Orriols.
b) Acquisition, analysis and interpretation of data: All.
c) Drafting and critical revision for important intellectual
content: All.
d) Final approval of the version to be published: All.
e) Agreement to be accountable for all aspects of the work
in ensuring that questions related to the accuracy and integrity
of all parts of the work are appropriately investigated and
resolved: All.
Acknowledgement
None.
Funding
None.
Institution and Ethics Approval and Informed Consent
The study was conducted in accordance with the rules established by the Declaration of Helsinki and the Code of Good Scientific Practice of the Carlos III Institute of Health.
Disclosure (Authors)
The authors declare no conflicts of interest.
Disclaimer
None.
References
- Seah I, Agrawal R (2020) Can the Coronavirus Disease 2019 (COVID-19) Affect the Eyes? A Review of Coronaviruses and Ocular Implications in Humans and Animals. Ocul Immunol Inflamm 28(3): 391-395.
- Hu K, Patel J, Patel BC (2020) Ophthalmic Manifestations of Coronavirus. StatPearls Publishing.
- Zhou S, Jones Lopez EC, Soneji DJ, Azevedo CJ, Patel VR (2020) Myelin Oligodendrocyte Glycoprotein Antibody-Associated Optic Neuritis and Myelitis in COVID-19. J Neuroophthalmol 40(3): 398-402.
- Palao M, Fernández Díaz E, Gracia Gil J, Romero Sánchez CM, Díaz Maroto I, et al. (2020) Multiple sclerosis following SARS-CoV-2 infection. Mult Scler Relat Disord 45: 102377.
- Benito Pascual B, Gegúndez JA, Díaz Valle D, Arriola Villalobos P, Carreño E, et al. (2020) Panuveitis and Optic Neuritis as a Possible Initial Presentation of the Novel Coronavirus Disease 2019 (COVID-19). Ocul Immunol Inflamm 28(6): 922-925.
Case Report
